5 Fantastiski Vienkārši Paņēmieni, Lai Izbalinātu Izbalējušas Drēbes!
Pastāstīsim, kā mājas vienkārši var izbalināt drēbes, pat visdelikātākos audumus, pat smalkas mežģīnes, nesabojājot tos.Bet, kas vēl labāk, šīs metodes var lietot arī profilaksei,...
Ko Tavas Mēles Tips Var Pateikt Par Tavu Personību?
Mēle tas ir viens no cilvēka svarīgākajiem orgāniem. Katram tā tomēr ir savādāka, citādākā krāsā, citādākā formā. Uzskata, ka mēle ir cilvēka veselības spogulis....
Matu izkrišana, bezmiegs, nagu trauslums… Lūk, kas to visu mainīs!
Šādas problēmas, kā matu izkrišana,nagu trauslums- sievietes bieži vien cenšas novērst, izmantojot ārīgus līdzekļus: maskas, eļļas, aptieku losjonus un serumus. Bet tam visam ir...
Ideāls apģērba izmērs nepastāv. Šī meitene to pierādīs…
Kādu dienā Dīna Šūmeikere kārtojot savu skapi un, pārcilājot drēbes, pamanīja, cik ļoti atšķiras viņas bikšu izmēri. Viņa tās piemērīja un atklāja, ka 46....
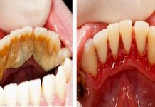
Tev vairs nav jāiet pie zobārsta! Uzzini kā atbrīvoties no zobakmens un padarīt smaidu...
Mūsdienās stomatologu pakalpojumi ir ļoti populāri, cilvēki bieži tāpat meklē vienkāršākos un lētākos risinājumus.
Ar šī palīdzību zobakmeni var likvidēt ļoti vienkārši mājas apstākļos. Zobakmeni...
Mūķeņu senā recepte palīdzēs izārstēt jebkuru sirdskaiti
Hildegarde fon Bingena ir izdomājusi šo recepti, viņa dzīvoja pirms 800 gadiem. Viņas recepte tika nodota no mūka mūkam un nedaudz vēlāk to pierakstīja, un...
4 brīnišķīgi triki tavam dārzam un mājai – NOTEIKTI JĀIZMĒĢINA!
Šajās dienās visi dārznieki un saimnieki ir gatavi uz daudz ko, lai viņiem būtu laba raža. Tāpēc mēs šodien padalīsies ar lieliskiem ieteikumiem, kas palīdzēs...
Beidzot ir zinātniski pierādīti fakti, kāpēc Jums neizdodas notievēt!
Tā kā daudzi cilvēki cīnās ar lieko svaru un bieži vien tērē naudu nejēdzīgiem veidiem, procedūrām, dietām un metodēm, tad iespējams šis, Jums palīdzēs sasniegt...
Lūk kā noteikt, cik labi Tu dzīvosi nākotnē! Pamēģini un uzzini, kas tevi sagaida...
Vai tu pats tagad vari iedomāties, kas varētu būt svarīgākais vai grūtākai lēmums, kādu tev dzīvē nāksies pieņemt?
Ir veikta cilvēku aptauja, kurā tika apkopoti...
Šampūns no sodas! Tas jums ir jāizmēģina
Ķīmiskās vielas šampūnos pavājina jūsu matus? Mēģiniet šampūnu izgatavot no cepamās sodas matu augšanas paātrināšanai un to struktūras uzlabošanai. Ja vēlaties augām dienām izmantot...











































